Build Muscle, Live Longer


Build Muscle, Live Longer (VIP)

Rewind to 2023 with me. It’s Tuesday morning and I’m headed to the local nursing home to see patients. I knock on George’s door and he smiles as I enter. He doesn’t see many friendly faces these days. This facility is well managed but they are understaffed and the workers don’t have a lot of time to chit chat. After checking his vitals, we walk the facility, work on balance and lower body strength while chatting about the Broncos, his time in the military and my kid’s latest milestone.

George gets frustrated with himself during our sessions. At 72, he’s had a few falls recently. Fortunately, no major injuries but he can’t believe he ended up in a facility. The falls aren’t the reason he’s here. The leading cause of a nursing home stay isn’t falling. It’s the inability to get out of a chair unassisted. Muscle mass is “use it or lose it.” And after his time in the military, the last thing George wanted to do was exercise.

It started as being harder to get off the floor in his 40’s. At 50, he struggled to keep up with his wife on walks. Then the stairs bothered his knees. With each challenge he faced, he found himself doing less. It was easier to avoid them than accept that he was slowing down.

Years of low activity later and he couldn’t consistently get out of his recliner. His wife helped for a while but ended up hurting her back. His kids collectively decided it was best for him to live elsewhere for a while. At least until he had the strength to be independent again. Enter, me with home health physical therapy.

George’s story is not abnormal. We lose 1% of our muscle mass every year after 30. This accelerates after age 60. You lose both muscle mass and the percentage of that muscle that’s made up of Type II muscle fibers. Type II fibers are called “fast twitch” fibers. And that means exactly what it sounds like. They fire more rapidly than type I fibers and are responsible for speed, explosiveness and strength.

Losing muscle mass and fast twitch fibers affects our strength and performance with activities like basketball, football, and sprinting. But it also affects our everyday life with daily activities like getting off the floor, climbing stairs and rising from a chair.

While we can expect to lose some strength and power with aging, it’s not as extreme as you’d think if you are actively combating it. A large portion of the loss in muscle mass from “aging” is actually:

-reduced daily activity levels
-low protein intake
-lack of strength-specific exercises

Fortunately you get a lot of say in this.

Activity and Aging:

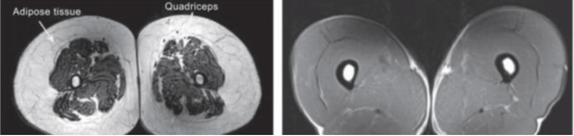
Below is a cross-section of muscle tissue in the thigh from 3 different individuals. Above is the leg of a 24 year old. This young individual is healthy at around 13% body fat. The white center circle is the femur bone surrounded by dense muscle tissue of the quads and hamstrings with a little bit of subcutaneous fat in white on the outside.

Next up for comparison, on the left is a 74 year old sedentary individual (like George). The muscles are atrophied, the bone is thinning and fat tissue has filled in both around the muscle and between it. This is the typical “aging” that we think of. But in reality, this deconditioning has taken place over the course of 30+ years.

We know that when we compare it to the final picture on the right. This is somebody the exact same age who has been highly active. In this case it is a 74 year old triathloner. And the leg looks just as fit (if not better) than that of the 24 year old.

That’s because everything that naturally occurs to the musculoskeletal system with aging:
-loss of muscle
-low bone density
-lower testosterone production
-a shift from type II to type I muscle fibers

is reversed with regular resistance training. It’s proven to:
-strengthen your bones
-improve muscle mass and strength
-create a shift from type I muscle fibers to type II
-improve testosterone production

There’s no drug on the planet as potent for anti-aging than resistance training. And it's never too late to get started or see results.

Age Doesn’t Matter:

Research supports that someone in their 70’s or beyond will see similar improvements in muscle mass from baseline compared to someone in their 30s when they begin strength training. While the overall cap on your ability to build strength exists as you age, the initial responses are still significant whether you are a man or a woman or in your 20s or 70s.

Better strength and muscle mass is associated with:
-better metabolic health
-decreased risk of falls
-improved quality of life
-decreased joint pain
-decreased fracture risk
-improved overall function and independence

This allows you to stay involved in your favorite activities for the long term. Whether that’s hunting, tennis, golf, pickleball, fishing, chasing the grandkids or walking the steps to your favorite stadium, building muscle now is the key.

To do this, develop a consistent routine around strength training that doesn’t take as much time as you think.

Minimal Effective Dose:

Just a single set done close to failure weekly is enough to build muscle, even if you are beyond your 70’s. This means if you are looking to get started you could see results in as little as 20 minutes per week. To see the most results in the least amount of time, focus on compound movements that simultaneously work multiple muscle groups like:
-Vertical push
-Vertical Pull
-Horizontal Push
-Horizontal pull
-Squat
-Hip Hinge
-Lunge

Virtually every muscle group in the body is worked with just these 7 movements. Of course there are benefits to doing more, but don’t let optimal prevent you from getting started. Pick a weight you can do successfully for 12-15 reps and get stronger over time.

Build It now, Keep It Forever:

While you have every ability to build muscle in the future, the longer you wait, the harder it is and the lower your muscular ceiling. Why wait until you are forced to take action. Do it before the joint pain gets worse or cardiovascular disease sets in. The more muscle mass built now will make for a healthier and higher quality of life in the future. You’ll reap all the benefits discussed above and use the power of time to compound those benefits over years or decades. And it takes less time and effort to keep muscle that's already built than to build it from scratch.

Whether you are young and healthy or currently deconditioned, the answer is the same. If you are serious about maximizing your quality of life and improving your metabolic health, resistance training is a necessity.

When Father Time inevitably comes for you, make sure you have such a head start that it takes him another decade or two to catch up.

That’s health on autopilot.

Until next time,

Brett
Brother2BrotherU

"Why do turkeys play percussion? They have drumsticks."

113 Cherry St #92768, Seattle, WA 98104
Unsubscribe

Brother2Brother University

Two brothers, fathers and Doctors of Physical Therapy who left traditional healthcare. Join 15,000+ other subscribers in a one-stop shop to take back control of your health from Big Pharma and Big Food. Actionable health tips delivered to your inbox every Tuesday and Friday.

Read more from Brother2Brother University

7 Years In The Making Rewind back to 2015 for a minute. "Aaron" loved distance running. He spent over an hour daily, on average, doing a combination of running, biking, swimming or some lifts. Each rhythmic pounding of concrete and splash in the pool was a testament to his commitment. High activity had become his weight loss solution and it was working. He lost 25 lbs to get down to 195.He was not far from his goal weight, but there was a problem. Increasing activity is a losing battle. He...

Save Time On Your Warm-up A proper warm-up has multiple purposes. Done correctly it improves performance and reduces your risk of injury or cardiovascular event. But when done incorrectly it actually hinders performance and can result in injury. Understanding how to perform a proper warm up is important. There is no one-size-fits-all approach but we’ll talk about some basic guidelines and examples depending on your goals and mode of exercise. Why warm-up? The primary goals of a proper warmup...

What Determines Calorie Burn? You don’t have to count calories to lose fat. But calories do count whether you count them or not. And while we don’t ask our 1 on 1 clients to count calories, we still believe in the laws of thermodynamics. Nutritionally, the goal is to find simple ways to gravitate toward lower calorie options while still feeling full on a day to day basis. This helps address the “calories in” side of the equation. When people think of “calories out” they usually think it’s...